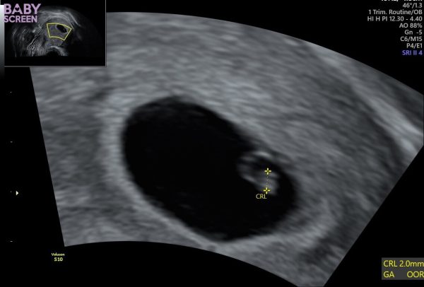
Idag följde jag Ida på ett första tidigt ultraljud som visar att hon precis gått in i vecka 7 av hennes graviditet. Ett litet hjärtslag syntes också ❤️



I vårat liv
Idag följde jag Ida på ett första tidigt ultraljud som visar att hon precis gått in i vecka 7 av hennes graviditet. Ett litet hjärtslag syntes också ❤️



© 2026 Jenny & Mikael
Tema av Anders Noren — Upp ↑
Senaste kommentarer